Request an Appointment
Orthodontic Bite Conditions
Tendler Orthodontics Corrects Difficult Bite Conditions | Boca Raton
View the information below in the multimedia module and text to learn more about Orthodontic Bite Conditions. To schedule a consult or appointment with Dr. Tendler, use our Appointment Request form or call our Boca Raton office: Tendler Orthodontics Boca Raton Office Phone Number Tendler Orthodontics Boca Raton Office Phone Number 561-826-7955.
Crossbite | Open Bite | Overbite / Deep Bite | Overjet / Buck Teeth | Underbite
Concerned About Bite-Related Problems?
Crossbite
A crossbite occurs when one or more of the upper teeth bite on the inside of the lower teeth. It can occur in the front of the mouth or on the sides, where its usually a bilateral condition. Early correction of a crossbite is recommended because it can lead to permanent problems including asymmetric jaw growth, irregular muscle function and altered tooth eruption.
Crossbite should be corrected because it can:
- cause premature wear of the teeth
- cause gum disease including bone loss
- cause asymmetrical development of the jaws
- cause dysfunctional chewing patterns
- make your smile less attractive
How can a crossbite be orthodontically corrected?
If there is a single tooth in crossbite, the tooth can be moved into the correct position with braces. When multiple teeth are in crossbite, the arch needs to be expanded with braces or a combination of braces and an intra-oral appliance. This will help correct the bite relationship and allow the jaws to grow in harmony.
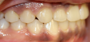
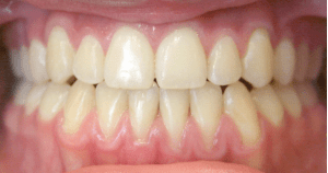
Before and After photos: Crossbite Treatment
Open Bite
An open bite occurs when there is insufficient vertical overlap of the teeth. It is caused by oral habits such as a tongue thrust, thumb or finger sucking or when the jaws don’t grow evenly. Timing of treatment is critical to the overall success of the therapy.
How can an open bite be orthodontically corrected?
An open bite can be corrected through growth modification of the jaws using braces, extrusion of the anterior teeth and in some cases surgical correction of the jaws. Also breaking oral habits, such as digit sucking, will facilitate the correction of an open bite.
Before and After Photos: Open Bite Correction
Overbite – Deep Bite
Class II Overbite
Overbite occurs when the upper front teeth protrude over the lower front teeth. Generally there is no contact between the upper and lower front teeth. Often you cannot see the lower incisors. Overbite is due to a disproportionate amount of eruption of front teeth or over development of the bone that supports the teeth and a front to back discrepancy in the growth of the upper or lower jaw (Class II Relationship). Overbite is commonly known as a deep bite.
Overbite should be corrected because it can:
- cause improper functioning of your front teeth
- result in the lower front teeth biting into the gum tissue of the upper palate leading to tissue problems
- unusual wear of the lower front teeth
- cause jaw or joint problems
- make your smile less attractive
How can an overbite be orthodontically corrected?
Overbite can be corrected through moving the front teeth up and/or extruding the back teeth, both of which will “open” the bite. Once the teeth are properly aligned, the deep bite is eliminated. This can be accomplished with braces alone or in combination with an appliance such as a bite plate.
Overjet – “Buck Teeth”
Class II Overjet
Overjet is also known as protrusion.
In this case, the lower teeth are too far behind the upper front teeth. This can be caused by an improper alignment of the molars (Class II Relationship), a skeletal imbalance of the upper and lower jaw; flared upper incisors, missing lower teeth or a combination of all the above.
In addition, oral habits such as thumb sucking, finger sucking or tongue thrusting can exacerbate the condition, giving the “buck tooth” appearance.
Overjet should be corrected because it can:
- prevent proper functioning of the front teeth
- lead to premature wear
- make your smile less attractive
- make the front teeth more prone to injury
How can overjet be orthodontically corrected?
Overjet can be corrected through growth modification using a functional appliance and/or braces and elastics to reduce the skeletal imbalance or extraction of teeth.
Underbite
Class III Underbite
The lower teeth protrude past the front teeth.
An underbite is usually caused by undergrowth of the upper jaw, overgrowth of the lower jaw, or a combination of the two (Class III Relationship).
An underbite can also be caused by flared lower incisors, missing upper teeth or a combination of all the above.
Early correction of an underbite is recommended.
Underbite should be corrected because it can:
- prevent proper functioning of the front teeth or molars which can lead to premature wear of the teeth
- cause chewing or eating problems
- cause jaw or joint problems
- make your smile less attractive
How can an underbite be orthodontically corrected?


An underbite can be corrected through growth modification of the jaws, extraction of teeth and in some cases, surgical correction of the jaws. A combination of extra-oral appliances and braces is often used for this correction.









