Request an Appointment
Crowding and Spacing Teeth
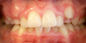
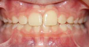
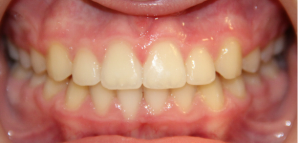
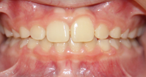
Crowding of the Teeth
Crowding is the lack of space for all the teeth to fit normally within the jaws. The teeth may be twisted or displaced. Crowding occurs when there is disharmony in the tooth to jaw size relationship or when the teeth are larger than the available space. Crowding can be caused by improper eruption of teeth and early or late loss of primary teeth. To discuss crowding and the spacing of teeth in the area, please feel free to contact us to schedule an appointment.
Concerned About Teeth Crowding & Spacing?
Crowding should be corrected because it can:
- prevent proper cleaning of all the surfaces of your teeth
- cause dental decay
- increase the chances of gum disease
- prevent proper functioning of teeth
- make your smile less attractive
How can crowding be orthodontically corrected?
Extra space can be created by expansion of the arches or extraction of teeth. Once space is created, braces will eliminate crowding and align the teeth. Correction of crowding can help prevent dental decay and periodontal disease by improving the ability to remove plaque from the teeth.
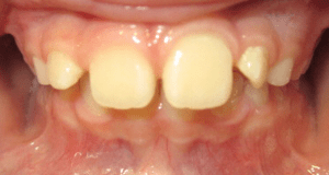
Spacing of the Teeth
Spacing (the opposite of crowding), is an excess of space which results in gaps between your teeth. This generally occurs when the widths of all teeth combined is less than the available arch space. Spacing can be caused by protrusive teeth, missing teeth, impacted teeth, small teeth, tongue thrusting or abnormal tissue attachments to the gums.
Spacing should be corrected because it can:
- result in gum problems due to the lack of protection by the teeth
- prevent proper functioning of the teeth
- make your smile less attractive
- cause dental decay from food impaction
How can spacing of the teeth be orthodontically corrected?
The spaces can be closed by moving the teeth together and properly aligning them within the arch by the use of braces or Invisalign®.






