Request an Appointment
Impacted and Missing Teeth
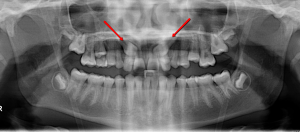
Impacted teeth
Impactions can be caused by improper positioning of the developing tooth bud. This can cause the tooth to fail to erupt into the mouth. Impactions can also be caused by early loss of primary teeth or crowding of teeth. Wisdom teeth are the most commonly impacted teeth. Canines and premolars can also be impacted.
This problem should be corrected because it can:
- cause damage to the root structure of adjacent teeth
- interfere with the sinus cavity
- leave unwanted spaces
- lead to improper functioning of the teeth
- cause premature wear of the teeth
- case asymmetric alignment of the teeth
How can impacted teeth be orthodontically corrected?
Before

Impacted Teeth Exposed

After

Usually the impacted tooth is exposed over the course of a few months and brought into the correct position of the mouth. Correction of impacted teeth may involve a minor surgical procedure performed by an oral surgeon working closely with our practice. This will allow us to then guide eruption of the impacted tooth into proper position.
Impacted and missing can have a negative impact on your health. We can help.
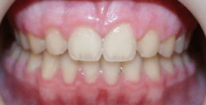
Missing teeth
Missing teeth is the absence of a tooth or teeth that should normally be present. This can be caused by trauma or lack of development.
This problem should be corrected because it can:
- cause improper functioning of teeth
- cause premature wear of teeth
- cause asymmetric alignment of the teeth
- make your smile less attractive
How can missing teeth be orthodontically corrected?

Before

After
Depending upon the situation, space can be closed with braces or opened for tooth replacement. A dental implant or bridge are restorative options if a space is created.

